近日,食品与生物工程学院发酵调味品科学与工程团队在农林科学领域国际顶尖期刊《Food Chemistry》(Q1, IF:8.5)发表题为“Investigation the antioxidant mechanisms of Capsaicinoids on myofibrillar protein based on multispectral and molecular docking”的研究性论文。西华大学2020级硕士研究生赵建华为论文第一作者,林洪斌副教授和唐洁教授为论文通讯作者。该研究工作得到了四川省科技厅(2023YFN0015)和中国农大四川现代农业产业研究院专项资金的资助。

成果介绍
近年来,预制食品市场在全世界范围内显著扩张,特别是在中国这样的发展中国家,消费者对便利性以及健康和可持续的预制产品的要求越来越高。鱼肉、猪肉、牛肉和家禽等是主要的预制肉类制品,它们在食用前需要冷藏和再加热。近年来,消费者对零售冷藏预制肉制品的需求激增,然而,关键的限制因素仍然存在,例如肉制品在储存过程中的蛋白质氧化敏感性,导致产品变质,这影响了产品的感官属性和营养完整性。因此,探索现代预制加工技术对产品稳定性的影响,特别是对于预制肉制品,由于其蛋白质含量高,确保储存期间的产品质量是一个更复杂的挑战。辣味作为人们日常饮食中不可或缺的“口味”,深受消费者的喜爱。辣椒素(CAPs)是辣椒中主要的辛辣物质。CAPs是一类包含在辣椒果实中的生物碱,是赋予辣椒辛辣风味的主要成分,主要由辣椒素(CAP)和二氢辣椒素(DCAP)单体组成,约占辣椒素的91%。在中国的西南地区,湖南省和江西省等地,由于CAPs的存在,辛辣味经常与肉类风味一起被发现,以增强产品的风味并延长食品的货架期。牛肉是预制肉制品的重要来源,是一种高蛋白、低脂肪、低胆固醇、营养丰富的肉类,其蛋白质的氨基酸组成接近人体所需,深受消费者的喜爱。肌肉蛋白质是牛肉中最重要的功能性成分之一,赋予牛肉产品许多重要的理化性质和感官品质。肌肉蛋白质占整个肌肉重量的15- 22%,肌原纤维蛋白(MP)占肌肉蛋白质的55- 60%,是形成肌肉纤维的结构蛋白质。MP参与活生物体的肌肉收缩过程,并调节牛肉和牛肉制品的保水、凝胶化和乳化等特性,从而直接影响产品的嫩度和质地。因此,控制牛肉预制肉制品中MP的氧化仍是一个需要克服的挑战。尽管大量研究证实了CAPs在医药和食品领域中具有抗氧化、抑菌、降血压等作用,但其在肉蛋白体系中的相互作用及抗氧化机制尚未得到充分的探讨。因此,本研究采用多光谱学并结合分子对接等方法研究了CAPs在肉制品加工中的抗氧化作用机制,并阐明了CAP和DCAP与牛肉MP的结合机制。结果表明,低浓度的CAPs能有效防止AAPH自由基对MP的攻击,使MP的结构发生氧化性变化,并防止MP的肽键断裂、表面疏水性和粒径变小等现象。高浓度的CAP能改变蛋白质的结构,形成更多的小分子聚集体,减少肌动蛋白-肌球蛋白的结合,有利于肉的嫩度。此外,CAP通过疏水作用与Tyr93结合,DCAP与Phe446结合并发生静态荧光猝灭。CAP复合物通过疏水相互作用、氢键和静电相互作用与MP结合,改变MP的二级和三级结构,增加MP的α-螺旋含量,提高MP的抗氧化结构稳定性。本研究为辛辣菜肴中蛋白质的抗氧化策略提供了理论支持,进一步丰富了CAP活性物质的综合利用,促进其在食品调理菜肴等领域的应用。
图文赏析

图形摘要

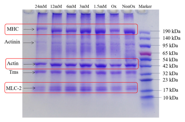
Figure 1.Electrophoretic reduction of MPs with different concentrations of CAPs under AAPH oxidation system (MHC:myosin heavy chain; Actinin: coactin;Actin:actin;Tms:pro-myosin;MLC-2:myosin light chain-2)

Figure 2.Effect of CAPs addition in AAPH oxidation system on MPs particle size after oxidation.

Figure 3.MPs endogenous synchronous fluorescence spectra (A,B,C),quenching equation (D) with different CAPs additions,UV spectra (E),Circular dichroism (F,G) of MPs with different CAPs additions.

Figure 4.Ramachandran plot of myosin homology modeling.

Figure 5.Plot of molecular docking results of CAP and DCAP with myosin molecules.
作者简介:

林洪斌,工学博士,副教授,硕士生导师,四川省食品科学技术学会预制菜专委会委员,四川省食品饮料协会调味品专委会委员,四川省人力资源和社会保障厅“智兴天府”专家,主要研究方向包括食品风味化学、食品微生物学。近5年发表相关学术论文30余篇,其中SCI收录论文27篇,获授权发明专利7项。获四川省科技进步二等奖1项,中国食品科学技术学会一等奖1项,二等奖1项,四川省食品工业科学技术一等奖1项。其所在发酵调味品科学与工程团队长期专注于以郫县豆瓣、四川泡菜为代表的四川地方特色发酵食品的相关研究,合作企业达40余家,共建国家企业技术中心、国家工程实验室、川渝共建重庆市重点实验室及食品微生物四川省重点实验室等国家和省部级平台6个,校企联合实验室12个。先后承担并完成国家和省部级等各类课题50余项,获中国轻工业联合会、四川省科技进步奖和成都市科技进步奖7项,发表学术论文200余篇,获授权发明专利20余项。

赵建华,西华大学食品与生物工程学院2020级硕士研究生,现为四川大学博士研究生。主要研究方向为食品风味化学及风味感知。目前共发表SCI论文10篇,以第一作者在JAFC、FC等期刊发表5篇SCI论文,其中两篇为正封面论文,一篇入选ESI高被引论文。参与多项省部级科研项目的相关工作,获四川省学科竞赛三等奖1项,四川省国际大学生创新大赛铜奖1项。
